Finding Safe, Effective and Advanced Pituitary Tumor Treatment

Choose the health content that’s right for you, and get it delivered right in your inbox.

An advanced neurosurgery procedure performed by Dustin Hatefi, MD, a USF neurosurgeon at AdventHealth Tampa, called an endoscopic transsphenoidal surgery allows neurosurgeons to safely and effectively remove pituitary tumors and, in some cases, tumors outside the pituitary gland.

When you or a loved one is diagnosed with a pituitary tumor there’s a lot to learn about diagnosis, treatment and recovery. A pituitary tumor is typically an abnormal growth that develops in the pituitary gland. Most are noncancerous (benign), but they can cause the release of too little or too many hormones which can ultimately create additional problems in the body’s endocrine system. If the tumor is large it can also put pressure on the gland and other structures in your body which might cause symptoms like headaches, nausea, weakness and vision loss to name a few.

Dr. Hatefi explains how a procedure developed to take a less invasive route through a patient’s nose has improved treatment for pituitary tumors.

“During transsphenoidal surgery, I would insert an endoscope through the nose and sphenoid sinus to allow access to the pituitary gland (and tumor) with minimal disruption and fewer risks. Bony openings will be made in the nasal septum, sphenoid sinus and sella to reach the pituitary. Then, I will use a lighted endoscope to guide instruments and precise movements to remove the tumor,” said Dr. Hatefi.

Beyond Pituitary Tumors

Neurosurgeons like Dr. Hatefi, skilled in transsphenoidal surgery are sometimes able to access tumors in the skull base, outside the pituitary gland. The procedure allows access from the spine (C2 inferiorly in midline) all the way to the skull base, giving more patients additional surgical options.

“As a neurosurgeon experienced in transsphenoidal surgery I can evaluate patients with midline skull-based tumors to determine if they are a good candidate for an endoscopic approach,” said Dr. Hatefi.

Surgical considerations include:

  • Anatomic considerations, including vascular anatomy and surrounding structures
  • Location of skull-based tumor
  • Nasal passage to tumor

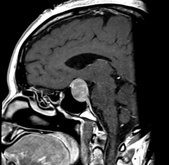
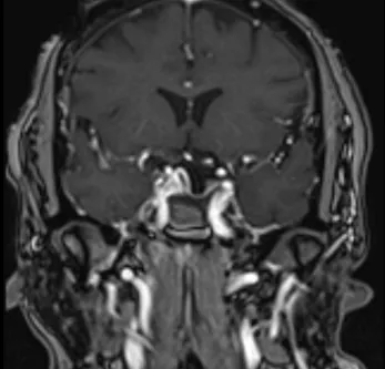
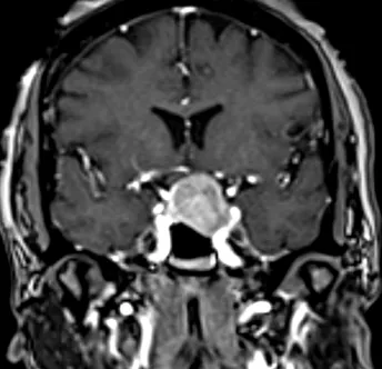
Pre- and Post-Op Pituitary Macroadenoma

Pre Op Pituitary Tumor Image 1
Pre-Op Image of Pituitary Tumor

Pre-Op Pituitary Tumor Image 2
Pre-Op Image of Pituitary Tumor

Post-Op Image of Pituitary Tumor 1
Post-Op Image of Pituitary Tumor Surgery

Post-Op Pituitary Tumor Surgery Image 2
Post-Op Pituitary Tumor Surgery Image

Who is a candidate for transsphenoidal surgery?

According to Dr. Hatefi, transsphenoidal surgery is typically a well-tolerated procedure, and pending evaluation, individuals with the following tumors may be good candidates:

  • Chordoma
  • Craniopharyngioma
  • Meningioma
  • Pituitary adenoma
  • Rathke’s cleft cyst

Additionally, individuals with small, hormone-secreting pituitary tumors may also benefit from an additional evaluation with a neurosurgeon such as Dr. Hatefi to assess risk and surgical need.

Benefits of Transsphenoidal Endoscopic Surgery

“Finally, endoscopic transsphenoidal surgery is a minimally invasive procedure that offers many benefits to patients, including faster healing, less pain, and lower risk of infection,” said Dr. Hatefi.