Addressing Challenges in Multiple Sclerosis Diagnosis: A Case Study

Ryan Mizell, MD
Neurologist
Medical Director, Neuroimmunology
AdventHealth Neuroscience Institute

Multiple sclerosis (MS) is a chronic, neurologic disease affecting nearly one million people in the United States and potentially causing severe disability. Though there is no cure, the advances in medications for MS have shown to be effective in preventing relapses and lesions on MRI of the central nervous system. Despite advanced imaging techniques, MS can be a difficult disease to diagnose.

A young female presented to clinic for assessment. She first had symptoms of numbness that lasted over several months. After undergoing MRI of the brain in 2019, she was not given a diagnosis.

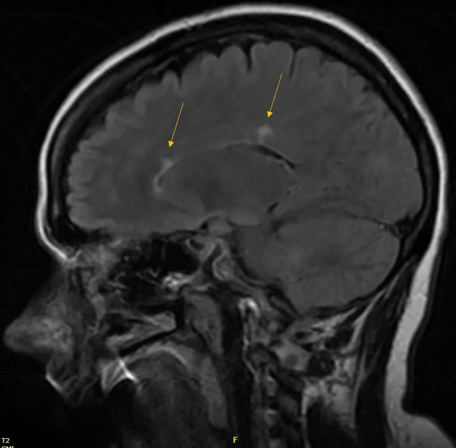
MS - Mizell 1
2019 Brain MRI

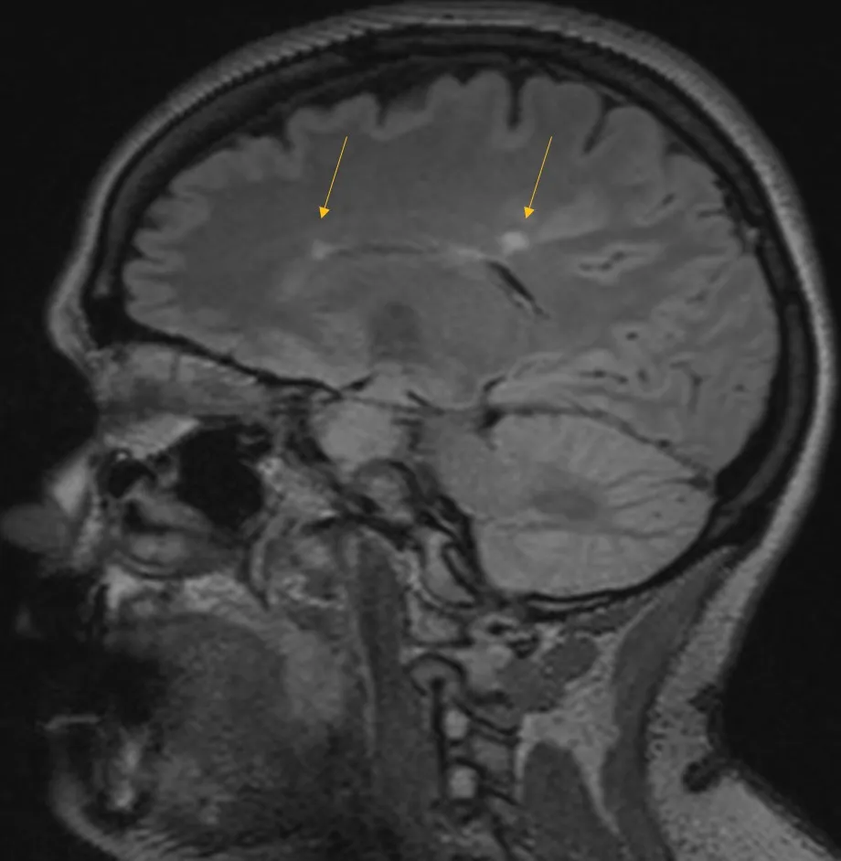
In 2021, she began to develop numbness in her right arm and hands that progressed over one month to encompass her left arm and hands. She was seen at AdventHealth Neurology in Winter Park and underwent further testing that included MRI of the brain, cervical and thoracic spine. As her previous images were compared to her current images, she was found to have previous lesions in the brain located in the periventricular and infratentorial region of the brain, which are common locations for lesions of MS.

Mizell MS 2
2021 Brain MRI

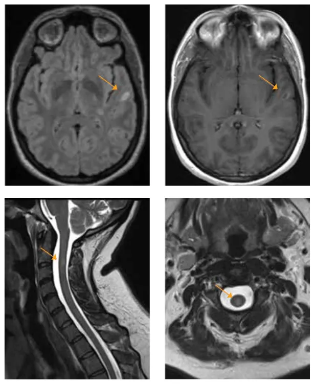
She had an actively enhancing juxtacortical lesion present in the left temporal region.

Mizell - MS 3-6

She underwent analysis of her cerebral spinal fluid, for which she had 15 oligoclonal bands, a test that is positive in patients with MS approximately 90-95% of the time.

After discussing the diagnosis, further conversations involved the recommendations to start a medication to treat MS with the goal of preventing relapses, new lesions, and disability. After a thorough discussion of the risks and benefits of different medications, she agreed to start ocrelizumab, a medication that is infused every six months and is used to treat patients with relapsing-remitting MS and primary-progressive MS. She continues to follow at the AdventHealth Neurology in Winter Park and remains relapse free on her current therapy.

Recent News

1 item. To interact with this item, press Control-Option-Shift-Right Arrow.